Fizioterapeut

Liječenje sindroma karpalnog tunela
Liječenje sindroma karpalnog tunela

Do smanjenja pritiska na živce ne dolazi lako, naprosto zato što su ligamenti čvrste tvorbe i ne daju se jednostavno smekšati

Brzinske pripreme za ljeto
Brzinske pripreme za ljeto

Masti imate po cijelom tijelu te se ona uglavnom ravnomjerno iz cijelog tijela i troši. Nije od nikakve koristi raditi beskonačno mnogo trbušnjaka, u nadi da ćete skinuti onaj sloj sala s trbuha koji vam toliko smeta

Sindrom karpalnog tunela
Sindrom karpalnog tunela

Simptomi ovog oboljenja najčešće se razvijaju polako te počinju s prolaznim trncima u prstima, najčešće tijekom noći ili ujutro nakon spavanja, da bi se kasnije proširili na cijeli dan

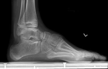
Stres frakture
Stres frakture

Kod sportaša, stres frakture najčešće se događaju na donjim ekstremitetima i to redom na kostima stopala i potkoljenice te rijetko na natkoljenici i zdjelici

Bol zbog kalcifikata u peti
Bol zbog kalcifikata u peti

Osim samog aktivnog liječenja, nužno je provjeriti obuću te izbjegavati tvrde i uske cipele, a preferirati meku obuću poput sportske

Vježbe nakon operacije meniskusa
Vježbe nakon operacije meniskusa

Parcijalna meniskotomija relativno je jednostavna kirurška procedura koja se izvodi tehnikom artroskopije. U pravilu, odmah nakon operacije moguće je potpuno opteretiti operiranu nogu hodanjem

Križobolja kao simptom
Križobolja kao simptom

Temeljiti fizikalni pregled neophodan je kod svake križobolje koja ne prolazi unutar nekoliko dana. Većinom se već pri pregledu može s velikom sigurnošću utvrditi o kojem je uzroku riječ

Hrskavica na pateli
Hrskavica na pateli

Brušenje neravnina na pateli rutinski je zahvat koji se izvodi metodom artroskopije. Postoperativni oporavak relativno je brz, a uključuje metode fizioterapije i kineziterapije

Ponovljena ruptura prednjeg ukriženog ligamenta
Ponovljena ruptura prednjeg ukriženog ligamenta

Operirati ili ne, pitanje je koje zahtijeva, prije svega, saznanje o fizičkim aktivnostima pacijenta. Ako su one umjerene i ne uključuju nogomet ili agresivno skijanje, tada operacija nije nužna

Udarac u potkoljenicu
Udarac u potkoljenicu

Ako nema vidljivog otoka, vjerojatno je riječ o manjem nagnječenju koje ne zahtijeva posebno liječenje, tek malo strpljenja, elastični zavoj, te eventualno kakav lijek protiv bolova, uz hladne ili ledene obloge