Fizioterapeut

Upala sluzne vreće na koljenu
Upala sluzne vreće na koljenu

Terapija za oštećenja na pateli
Terapija za oštećenja na pateli

Ponovljena ozljeda prepone
Ponovljena ozljeda prepone

Bolovi u potkoljenicama
Bolovi u potkoljenicama

Oštećenje hrskavice i vibracijski trening
Oštećenje hrskavice i vibracijski trening

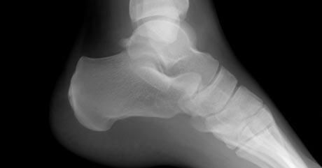
Komplikacije po distorziji gležnja
Komplikacije po distorziji gležnja

Taping
Taping

Ponovljene mišićne rupture
Ponovljene mišićne rupture

Skolioza kod sportaša
Skolioza kod sportaša

Sajam medicinske opreme - Medica 2009
Sajam medicinske opreme - Medica 2009